Comment nous joindre?

Téléphone : +41 22 346 27 93

Email : info@dentiste-champel.ch

Heures d'ouverture

Lundi : 08:00 - 12:00 / 14:00 - 18:00

Mardi et jeudi : 08:00 - 20:00

Mercredi : 09:00 - 20:00

Vendredi : 08:00 - 12:00 / 14:00 - 18:00

Rendez-vous en ligne
Eng

Soins Dentaires

Remplacement d’amalgames

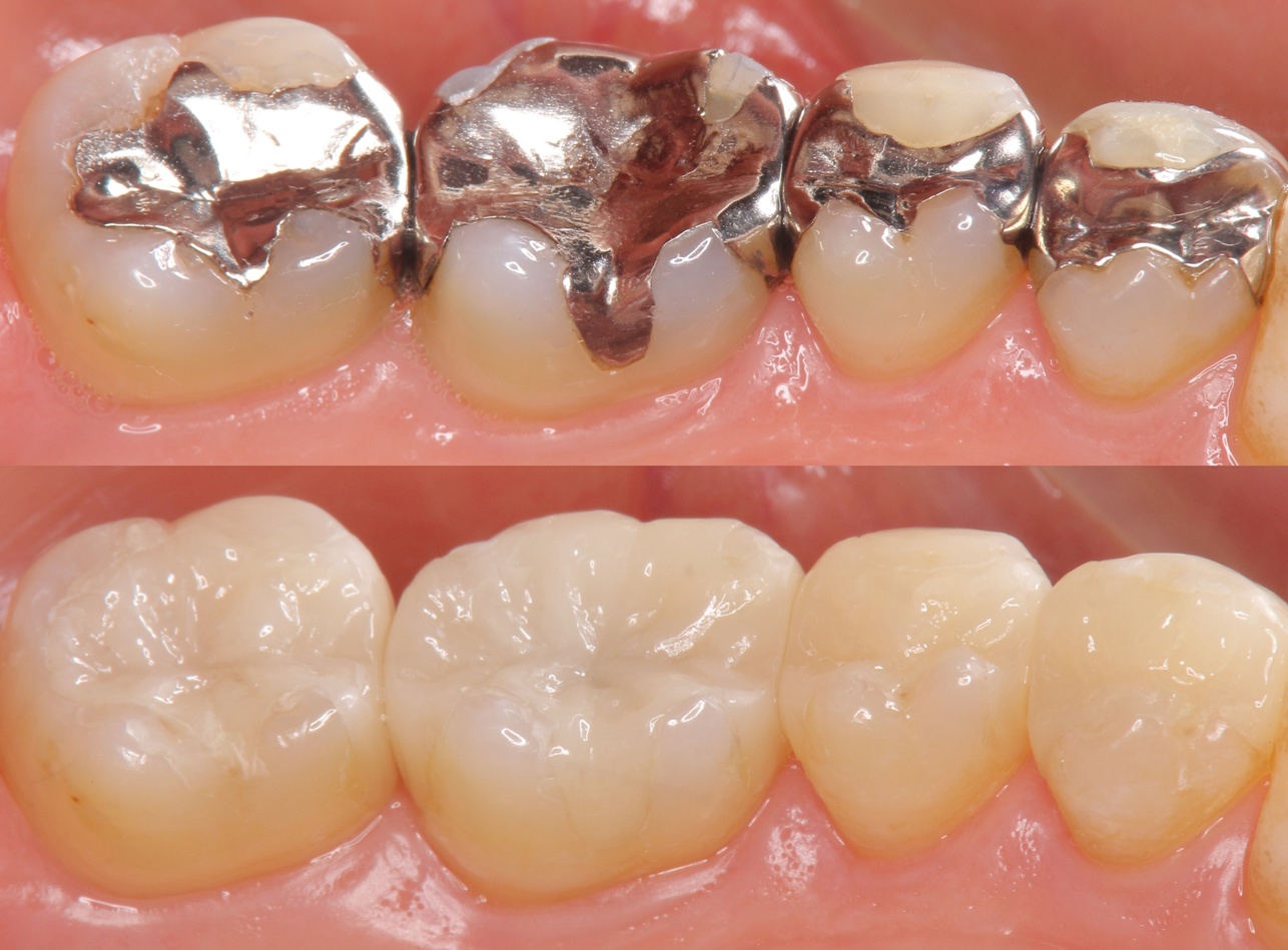
Remplacement des Restaurations en Amalgame à la Clinique Dentaire de Champel

Les restaurations dentaires en amalgame, souvent appelées « plombages » en raison de leur aspect métallique, étaient autrefois largement utilisées pour le traitement des caries. Ces restaurations contiennent un mélange de matériaux, dont le mercure, un élément potentiellement toxique pour l’organisme.

Bien qu’aucune étude n’ait démontré de toxicité systémique liée aux amalgames, ces restaurations présentent des risques mécaniques importants. Avec le temps, les amalgames subissent une expansion volumique, ce qui peut provoquer fissures ou fractures des parois dentaires, surtout lorsque la dent restante est fine. Dans certains cas, la fracture peut s’étendre jusqu’à la racine, nécessitant malheureusement une extraction.

Dans ces situations, les dentistes de la clinique dentaire de Champel recommandent le remplacement préventif des amalgames par une résine composite biocompatible. Cette résine, d’aspect naturel, résistante et hautement esthétique, permet de restaurer la dent tout en minimisant le risque de fractures futures.

Le remplacement des amalgames peut également être motivé par des raisons esthétiques. Si vos restaurations métalliques sont visibles lorsque vous souriez, nos dentistes peuvent les remplacer par une résine composite de haute qualité, offrant un rendu naturel et un sourire harmonieux.

Au sein de notre cabinet dentaire, chaque patient bénéficie d’un suivi personnalisé pour le remplacement des amalgames, alliant sécurité, confort et résultats esthétiques durables. La clinique dentaire de Champel garantit ainsi des traitements conservateurs et adaptés à chaque situation bucco-dentaire.