Comment nous joindre?

Téléphone : +41 22 346 27 93

Email : info@dentiste-champel.ch

Heures d'ouverture

Lundi : 08:00 - 12:00 / 14:00 - 18:00

Mardi et jeudi : 08:00 - 20:00

Mercredi : 09:00 - 20:00

Vendredi : 08:00 - 12:00 / 14:00 - 18:00

Rendez-vous en ligne
Eng

Soins Dentaires

Traitement conservateur de caries

Traitement des Caries et Restaurations Dentaires à la Clinique Dentaire de Champel

Une hygiène bucco-dentaire insuffisante, un manque de contrôle régulier chez le dentiste, ainsi que d’autres facteurs tels qu’une alimentation déséquilibrée, le tabac ou l’hyposalivation, favorisent le développement des caries.

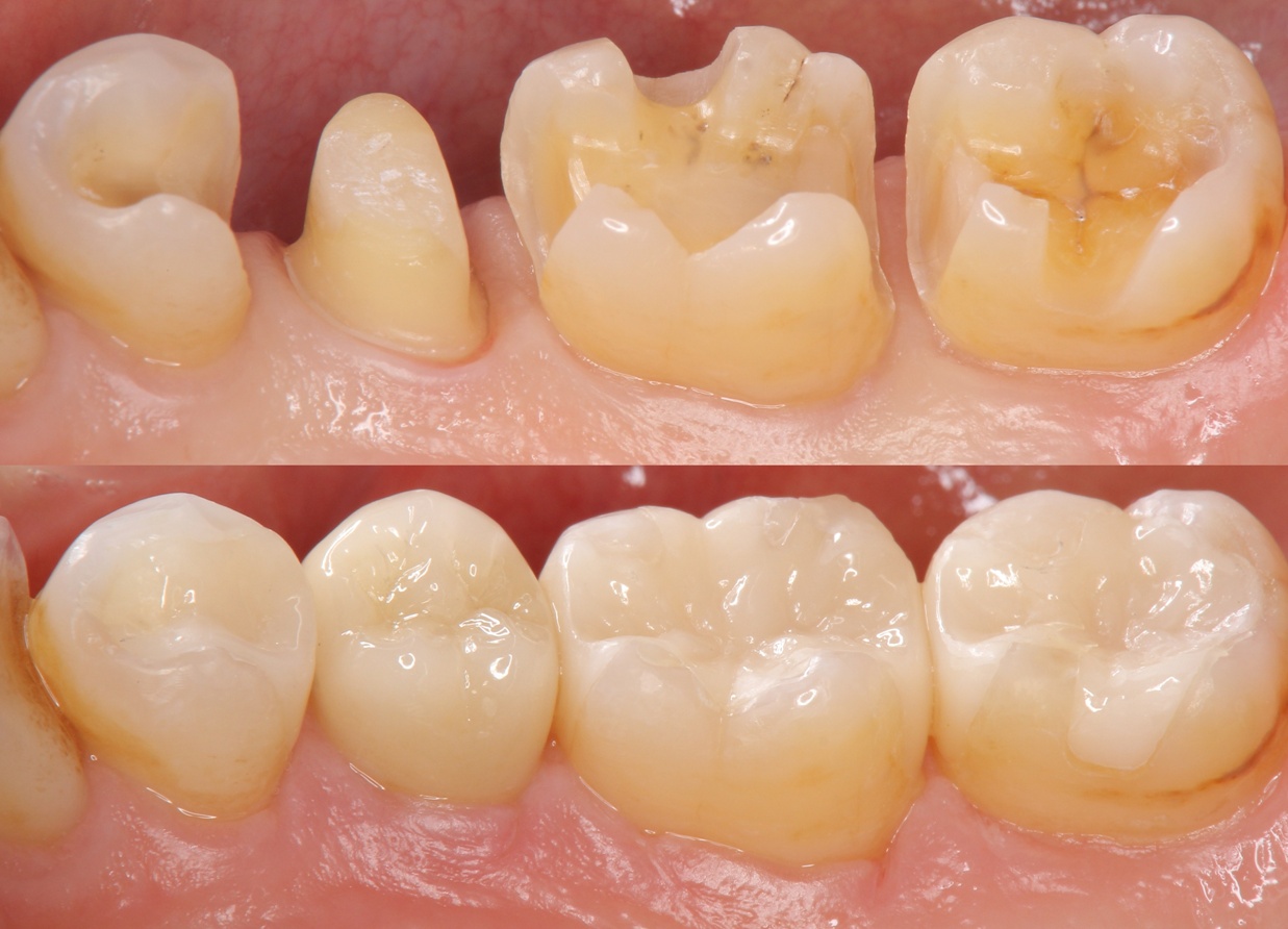
Le traitement d’une carie dans notre cabinet de la clinique dentaire de Champel consiste à retirer la lésion avec une fraise diamantée de la manière la plus conservatrice possible, afin de préserver un maximum de substance dentaire naturelle.

La cavité obtenue est ensuite restaurée à l’aide d’une résine composite biocompatible, d’aspect naturel et hautement esthétique. Cette résine blanche présente un module d’élasticité similaire à celui de la dent naturelle, garantissant la longévité de la restauration sur plusieurs années, voire toute une vie.


Cette méthode est également utilisée pour remplacer des restaurations anciennes ou inesthétiques, des amalgames (plombages) ou encore pour réparer des fractures dentaires.

Pour les caries plus étendues, nos dentistes recommandent souvent la confection d’un onlay, une restauration plus conservatrice qu’une couronne traditionnelle. Cette pièce en céramique ou composite, fabriquée par notre laboratoire dentaire, reproduit l’anatomie naturelle de la dent et offre une esthétique et une durabilité optimales. Après prise d’empreinte au cabinet, l’onlay est fabriqué par le technicien et scellé par le dentiste, assurant une continuité parfaite avec la dent naturelle et limitant les risques de ré-infiltration carieuse.

Lorsque la dent est fortement dégradée, nécessitant un traitement endodontique ou une dévitalisation, une couronne en céramique peut être indiquée. Cette restauration, réalisée par nos dentistes de la clinique dentaire de Champel, offre une résistance optimale et un aspect esthétique naturel, tout en protégeant durablement la dent restante.

Grâce à notre cabinet dentaire, chaque patient bénéficie de traitements personnalisés et conservateurs, alliant confort, esthétique et longévité, pour préserver une santé bucco-dentaire optimale.